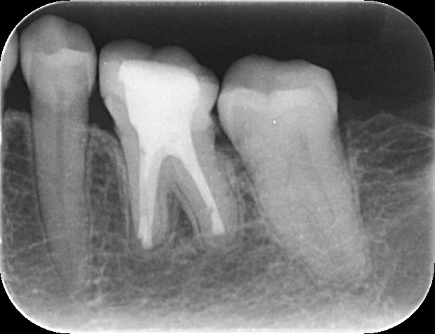
症例 再根管治療後の外科的歯内療法 2025.11.12 【背景】 ・60代女性。 他院で処置するも治らず、専門医による根管治療を希望し来院 外科的歯内療法の可能性を説明し、通法通り処置後、セラミックにて修復 その後、2年ほど経過し、根尖に病変を認めた為、外科的歯内療法へ移行し、 1年経過後のレントゲン写真にて治癒確認 歯内療法完了後 外科的歯内療法直後 1年経過時のレントゲン 【総評】 処置前の診査診断にて、治療の成功率や、外科的歯内療法の必要性について、必ず説明していますが、 一定期間が過ぎてしまうと忘れてしまう患者様は一定数いらっしゃいます セラミック修復した歯を壊す必要がなく、また、抜歯からインプラントへ移行する可能性を減らすことができるため、 難易度は高い処置ですが、専門医で対応することの意義は大きいと感じる症例をご紹介しました 根管治療でお困りの方や、クリニックの関係者の方は、ご紹介フォームからお気軽にお問い合わせください この記事のタイトルとURLをコピーする