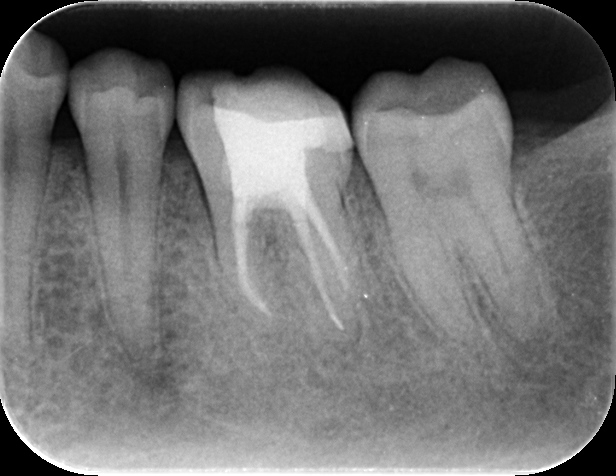
症例 下顎左側第一大臼歯予防的歯内療法 2025.09.10 主訴:海外赴任するため、根管治療をしっかり行い、セラミックの被せ物でやり直したい 背景:症状はないものの、脱離を繰り返す銀歯のやり直しと、精密根管治療を希望し当院へ 数ヶ月後に海外赴任を考えると、可及的速やかに歯内療法療法を終える必要性があった 状態:根尖病変は認めないが、不良な治療後であったため、説明と同意を得た後、歯内療法を行い セラミック修復を終えた 治療前デンタル 治療後デンタル 治療回数:2回 治療時間:各90分 治療費用:料金表参照 治療担当:野田哲朗 この記事のタイトルとURLをコピーする