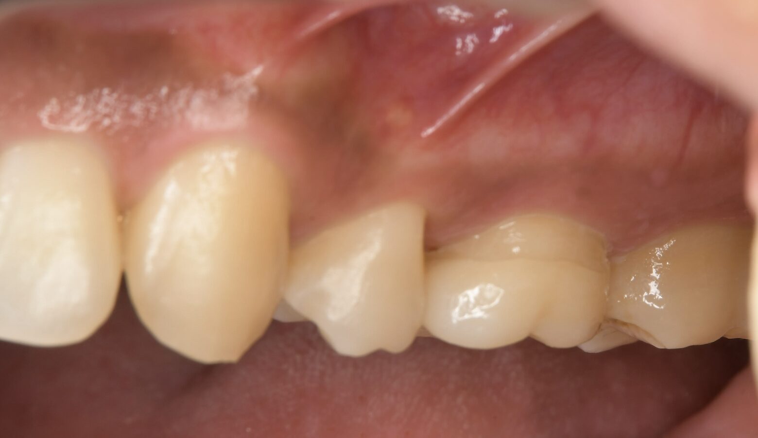
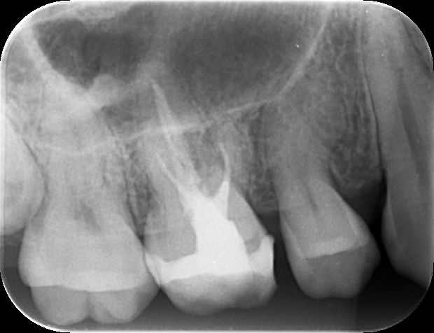
症例 上顎第一大臼歯抜髄処置 2025.10.02 【主訴】 上顎第一大臼歯部の自発痛出現にて、歯内療法専門医受診希望 【背景】 上顎第一大臼歯部に自発痛出現し、根管形態の複雑さから、歯内療法専門医にて治療を示唆 診査診断後、通報に従い、一回の処置で歯内療法及び支台歯築造まで終了し、 仮歯にて1週間ほど経過観察し、セラミック修復に至る 治療前 治療後 セラミック咬合面 セラミック頬側面 【考察】 元々、食いしばり傾向が強く認められる患者であり、メタルインレーにて咬合面をほぼ覆う形態で修復されていた この場合、咬合力コントロールされていない症例では、歯にヒビ(クラック)が生じ、噛むと痛いという訴えや、 神経に達する症状が突然出現するケースも散見される 神経が温存される症例でも、全体的にクラウン形態で修復することが望ましい 【治療回数】 歯内療法 1回 歯冠修復 2回 【治療担当医】 歯内療法 野田哲朗 歯冠修復 白土 州 この記事のタイトルとURLをコピーする