患者様はこちら
歯科医院様はこちら
電話
WEB予約
アクセス

根管治療

上顎第一大臼歯再根管治療

【主訴】
根管治療を幾度か繰り返した上顎の歯が疼く。鼻の横も押すと痛い
【背景】
セラミック修復した上顎第一大臼歯、治療後数年経過し、最近違和感を感じ、上顎洞付近にも違和感を感じ、専門治療を希望し専門医受診

   術前CT

   術前レントゲン

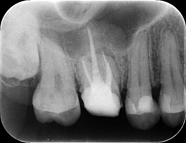
   術後レントゲン

【治療方法】  診査診断を行い、保存可能及び修復可能と診断
        ラバーダム防湿を行い、2回(各90分)にて治療終了
【治療回数】  2回 
【治療担当医】 野田哲朗

関連記事

最近の記事
  1. 上顎前歯のセラミック修復に伴い、根尖病変および、治療不良部位を専門医にて歯内療法をおこなった症例

  2. 抜歯の可能性を示唆された上顎小臼歯の歯内療法

  3. 専門医による歯内療法行ったのち、数年後隣在歯に対して歯内療法をおこなった症例